Our Work

dr-steve-park

dr-kwan-lee

More Work Examples

This page is having a slideshow that uses Javascript. Your browser either doesn't support Javascript or you have it turned off. To see this page as it is meant to appear please use a Javascript enabled browser.

20150126-113714
20150717-125107
20150805-171807
20150420-103513
20150420-103522
golden-retriever
20150325_141509-sm
20150325_141405-sm
black-lab
20150325-154240
20150325-154314
20150401-114458
20150401-114555
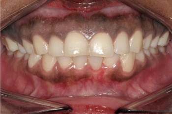
before
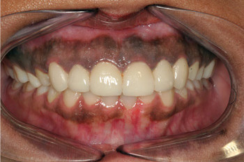
after
nho-0867
nho-0900
nho-0917
nho-0959
nho-0971